Стоматологическая клиника Кэри на Университетском проспекте

Популярные услуги

Акции и скидки

Ознакомиться с текущими акциями и предложениями Стоматологической клиники Кэри вы можете, связавшись с нами по телефону или в мессенджерах
Контактный номер
+7 (499) 370-31-... Показать

Подробнее о компании Стоматологическая клиника Кэри

Современный уровень развития медицины позволяет как бесплатным, так и частным клиникам оказывать профильные услуги.

Стоматологическая клиника Кэри - это учреждение широкого профиля, предлагающее специально подобранный комплекс услуг для каждого клиента. В клинике всё организовано с учетом максимального комфорта для посетителей. Оборудование кабинетов позволяет провести диагностические исследования организма пациента для составления программы лечения и профилактических мероприятий. В клинике функционируют отделения дерматологии, ортопедии. Наши врачи имеют высокую квалификацию и с пониманием отнесутся к вашим проблемам. Доверяя заботу о своем здоровье нам, вы можете быть уверены в результате.

Если вы всерьез решили добиться поистине голливудской улыбки, то следует доверить это профессионалам. В стоматологической клинике Кэри имеется все необходимое для того, чтобы ваши зубы всегда были здоровыми. Наши стоматологи готовы предоставить услуги лечения кариеса, удаления зубов, компьютерной томографии, отбеливания, исправления прикуса, рентгенологической диагностики, изготовления имплантов, а также установки металлокерамики, брекетов, имплантов, виниров. С нами ваша улыбка будет в надежных руках!

На базе медицинского центра открыто отделение челюстно-лицевой хирургии.

Среди предлагаемых процедур вы можете выбрать остеопатию, физиотерапию, мануальную терапию, лечебный массаж. Здесь же работает лаборатория.

Записаться на консультацию к нужному специалисту можно по указанным телефонам.

Наш рейтинг на порталах
Способы оплаты
картой, наличные, QR код, через банк

Фотогалерея

Специалисты

Анна Алексеевна Шкурченко
Анна Алексеевна Шкурченко
В практике придерживается комплексного подхода, успешно сочетая аппаратные методики, техники контурной пластики, биоревитализации и тредлифтинга. Регулярно участвует в международных конференциях, симпозиумах и конгрессах по эстетической медицине и косметологии и повышает уровень своих знаний и навыков. Уделяет постоянное внимание современным технологиям в противовозрастной терапии.
Амит Алибиевич Ялбулганов
Амит Алибиевич Ялбулганов
Врач стоматолог-ортопед, терапевт.
Семен Владимирович Самарчян
Семен Владимирович Самарчян
ПРОФЕССИОНАЛЬНЫЕ НАВЫКИ И ЗНАНИЯ Дентальная имплантология (“Nobel Biocare”, “Biohorison’s”, “Implantium”, “Astra Tech”, “Ankylos”, «Zimmer dental»). Самостоятельное 3D планирование и имплантация с помощью хирургических шаблонов Костная аутопластика альвеолярных отростков (классическая пересадка костных блоков, модификации по методике проф. Кюрри). Методики расщепления гребня. Направленная регенерация тканей. Синус лифтинг (открытая и закрытая методики). С 2010г практикует атравматичный синус лифтинг крестальным доступом по методике Samuel Lee. Пластика мягких тканей (пересадка мягкотканных трансплантатов с неба CТТ, СДТ). Немедленная нагрузка при имплантации Хирургия пародонта (резекционная и индуктивная костная хирургия).
Алексей Владимирович Корольков
Алексей Владимирович Корольков
Медицинский брат по массажу. Высшая квалификационная категория. Специализация: Медицинский массаж при заболеваниях опорно-двигательного аппарата (остеохондроз позвоночника, нарушения осанки, мышечно-тонические спазмы ), сколиозах, кифозах, реабилитация после травм позвоночника, конечностей, спортивный массаж, антицеллюлитный массаж. Навыки: Медицинский массаж, лечебный массаж, спортивный массаж, кинезиологический массаж.
Тамара Дмитриевна Григорьева
Тамара Дмитриевна Григорьева
Владеет всеми современными техниками ортодонтического лечения. Умеет находить подход к каждому пациенту. Повышение квалификации и обучение за последние годы: 2010 Москва. VI научно-практическая конференция «Стоматологическое здоровье ребенка» Ноябрь, 2010 Санкт-Петербург. Сегментарная техника в ортодонтии. Ноябрь, 2010 Москва. Практический курс 3М UNITEK. Лечение класса II. Клинические аспекты применения корректора дистального прикуса Forsus EZ Июнь, 2011 Турция, Стамбул. Международный Конгресс ортодонтов. 2011. Москва Современные технологии эндодонтической микрохирургии Ноябрь, 2012 Киев. Академия дополнительного образования ортодонтов. Ортодонтическая философия Июнь, 2013 Исландия, Рейкьявик. Международный конгресс ортодонтов Сентябрь, 2013 Москва. Участие в семинаре «Актуальные вопросы современной ортодонтии»
Мария Николаевна Зубова
Мария Николаевна Зубова
Сертифицированный специалист по эстетической косметологии, массажу и коррекции фигуры. Владеет различными техниками массажа: классический, антицеллюлитный, медовый, тайский, креольский и др. Прошла обучение по работе на аппаратах по дермотонии (вакуумно-роликовый массаж), прессотерапии, миостимуляции и ударно-волновой терапии. Мастер по фото и электроэпиляции, владеет техниками шугаринга и ваксинга. Прошла обучение по работе на профессиональной косметике "STYX", "Janssen", "Aravia" и др. Показывает отличные результаты коррекции фигуры с помощью сочетания перечисленных методик.
Сергей Михайлович Скульчук
Сергей Михайлович Скульчук

Скульчук Сергей Михайлович является ортодонтом. Раздумывая о посещении стоматолога-ортодонта, стоит не забывать, что неправильный прикус - не просто эстетический дефект. Зубочелюстные патологии влияют на работу мышц шеи, строение позвоночника и даже на осанку. Ортодонтическое лечение длится достаточно долго, но это каждый раз является важным вложением в собственное здоровье и качество жизни.

Сергей Скульчук является врачом высшей категории.

Лариса Анатольевна Бородина
Лариса Анатольевна Бородина
Высококачественно выполняет как аппаратные, так и поддерживающие процедуры. Владеет эксклюзивными антивозрастными методиками по лицу и телу. Имеет опыт работы в создании индивидуальных программ по аппаратной косметологии и коррекции возрастных изменений.
Александр Николаевич Те
Александр Николаевич Те
В 1996 году окончил «Кемеровскую Государственную Медицинскую Академию Росздрава», присвоена специальность «стоматология». В 2006 году окончил «КемГМА Россздрава» по специальности «стоматология ортопедическая». В 2010 году окончил курсы по ФГУ «НМЧЦ им Н.И. Пирогова» «Дентальная имплантология». В 2011 году прошел повышение квалификации на базе «КемГМА Россздрава» «Стоматология ортопедическая» В 2016 году окончил ГБОУ КемГМА «Минестераства Здравоохранения РФ», специальность «Стоматология ортопедическая».
Астемир Олегович Алхасов
Астемир Олегович Алхасов

Алхасов Астемир Олегович является стоматологическим гигиенистом и стоматологом-терапевтом. Астемир Алхасов в том числе специализируется на заболеваниях полости рта, занимается лечением пародонтита, некариозных поражений зубов, кариеса и пульпита, а также выполняет удаление зубов и снятие зубного камня. Его помощь может понадобиться вам перед тем, как заняться лечением зубов от кариеса или прочих недугов, а также как мера профилактики опасных заболеваний десен. Основные услуги, которые предлагает Астемир Алхасов - это удаление зубного камня и налета, подбор средств гигиены и реминерализация эмали.

Астемир Алхасов.

Лицензии, награды, сертификаты

Видео

1 видео из 1

Отзывы

5,0
Елизавета
Преимущества: В данную клинику хожу кажется ко всем специалистам и всегда нахожусь в восторге! Внимательные и улыбчивые администраторы, шустрые ассистенты, и прекрасные специалисты в виде Марии, Ларисы, Амита, Анны Алексеевны! Чувствую себя здесь как дома и рекомендую очень вкусный кофе!!!
21 июля 2025 Отзыв взят с сайта Zoon.ru
4,0
Анна
Прекрасная клиника, отличные, профессиональные специалисты, однако, в лице администратора Александры клиника сильно теряет своё реноме.
8 марта 2024 Отзыв взят с сайта Zoon.ru
5,0
Алена
Удаляли нерв, спасли зуб. Все удалось! Давно наблюдаюсь у Амита Алибиевича. Он внимателен к своим пациентам, помогает, делает все возможное.
13 февраля 2023 Отзыв взят с сайта Zoon.ru
5,0
Алексей
Доктор Амит лечение кариеса мне хорошо сделал, качественно, отлично. При лечении мне ставили анестезию. Не первый раз обращаюсь в клинику.
23 января 2023 Отзыв взят с сайта Zoon.ru
5,0
Кристина
Удобно, что заранее звонят и предупреждают о записи. Везде чистенько! Я человек, который придраться может, но у меня нет претензий.
18 января 2023 Отзыв взят с сайта Zoon.ru
5,0
Анонимный пользователь
Устроили результат чистки зубов и врач, который хорошо общался со мной во время процедуры. Ранее посещал клинику, и решил обратиться снова.
13 января 2023 Отзыв взят с сайта Zoon.ru
5,0
Юлия
Меня еще в маленьком возрасте привели к доктору Амиту, он единственный, к кому я в детстве не боялась идти. И до сих пор только к нему хожу! Доктор дипломатичный, дружелюбный, мне нравится его скорость работы. В прошлый раз мне обработали, прочистили канал, временный пластик снова поставил. Он очень хорошо меня знает, и делает как лучше.
11 декабря 2022 Отзыв взят с сайта Zoon.ru
5,0
Михаил
Обращался по поводу удаления зуба. Я доволен отношением в регистраторе и со стороны доктора. Оперативность и качество понравились, администраторы хорошо меня встретили. После удаления зуба доктор выписал таблетки. Потом дважды еще приходил, без осложнений все зажило. Врач дружелюбный, понимающий.
11 декабря 2022 Отзыв взят с сайта Zoon.ru
5,0
Олеся
Отвалилась коронка. За десять минут всё было сделано. Мне всегда нравится, как всё происходит. Особенно хочу отметить качество работы доктора Амида, его профессионализм и скорость. Доктор прекрасно умеет общаться. Меня все устраивает.
21 ноября 2022 Отзыв взят с сайта Zoon.ru
5,0
Екатерина
Всё хорошее: отношение и прием доктора. Он очень чуткий, позитивно настроенный, с пониманием относится к пациенту. Располагает к себе, идёт на контакт. Это очень важно. Если что-то рекомендует, то объясняет. Идешь к человеку, всё равно, а не к доктору, в первую очередь. Он устранял мне проблемы во рту от предыдущих стоматологов.
4 ноября 2022 Отзыв взят с сайта Zoon.ru
5,0
Виктория
Сделали керамические вставки на два зуба и почистили. У меня разрушение было зубов, сильный пульпит, других вариантов не было. Все устроило!
24 сентября 2022 Отзыв взят с сайта Zoon.ru
5,0
Александр
Я узнал то, что хотел, мне подсказали, какие нужно сделать процедуры. Много лет хожу к Ялбулганову А.А. Он всегда решает все проблемы.
24 сентября 2022 Отзыв взят с сайта Zoon.ru
5,0
Софья
Ходим и я, и мама, и муж к Амиту, он долго с нами работает, все устраивает. Во время приема общение устраивает, нет напряженного молчания.
23 сентября 2022 Отзыв взят с сайта Zoon.ru
5,0
Ольга Матюшкина
Советую всем, кто ищет внимательное, индивидуальное отношение, качество оказываемых услуг и адекватные цены. Была по рекомендации в 2017 году, потом сменила три центра(поближе к дому), но вернулась к Анне Алексеевне и больше уже не буду испытывать судьбу. Анна Алексеевна не только высоко профессиональный косметолог, но и замечательный человек, который поможет подобрать наилучший вариант для вашей красоты и кошелька!
14 сентября 2022 Отзыв взят с сайта Zoon.ru
5,0
Наталья
Я довольна услугой, вижу результат. Хожу к специалисту Павлу. Порекомендовала бы его за профессионализм, знание своего дела. Процедура обычно длится полтора часа. Сегодня я отлично себя чувствую. Клинику посетила более двух раз.
26 августа 2022 Отзыв взят с сайта Zoon.ru
5,0
Светлана
Я давно посещаю данную клинику, и меня все устраивает. В последний раз обращалась к косметологу, она вежлива и внимательна, всегда готова дать совет, что-то подсказать. Я была у Анны Алексеевны Шкурченко. Обслуживание мне нравится, в клинике комфортно и удобно.
25 августа 2022 Отзыв взят с сайта Zoon.ru
5,0
Анонимный пользователь
Скорость и качество понравились. Установили временную пломбу. Зуб в порядке пока, он слабенький, сверлить нежелательно. Потом приду, чтобы поставить постоянную. Мне друзья посоветовали клинику. Обслужили отлично!
25 августа 2022 Отзыв взят с сайта Zoon.ru
5,0
Татьяна
В клинике мне все понравилось: все процедуры и как относится коллектив, сотрудники. В ней все замечательно, начиная со стоматологии и вообще все, я ко всем ходила.
25 августа 2022 Отзыв взят с сайта Zoon.ru
5,0
Александр
Всегда хожу в клинику. В последний раз мне сделали удаление и чистку, все прошло хорошо. В результате зуба нет, все заросло. Специалист хороший, обстановка в помещении и интерьер положительные. В целом, обслуживание врача произвело хорошее впечатление.
24 августа 2022 Отзыв взят с сайта Zoon.ru
5,0
Елена
Доктор очень хороший, большой профессионал. В клинике чисто, аккуратно, вежливый персонал. Также была у косметолога.
17 августа 2022 Отзыв взят с сайта Zoon.ru
5,0
Татьяна
С Анной Алексеевной уже 6 лет. Профессионал с большой буквы! Все процедуры по делу, ничего никогда не предложит из того, в чем нет необходимости. Все очень деликатно, грамотно. Если губы, то в рамках разумного, без перебора, исключительно для гармоничной красоты. Очень рекомендую!
16 августа 2022 Отзыв взят с сайта Zoon.ru
5,0
Елена
Мастер все хорошо сделал. Ходила на эпиляцию верхней губы. Мастера все доброжелательные, профессиональные, все понравилось!
13 августа 2022 Отзыв взят с сайта Zoon.ru
5,0
Надежда
Давно пользуемся услугами доктора Амита, всё нравится, хороший результат. Встречают пациентов шикарно, все вежливо и корректно себя ведут.
13 августа 2022 Отзыв взят с сайта Zoon.ru
5,0
Галина
Меня всё устраивает. Я давно хожу в данную клинику, претензий нет. Отмечу работу Анны Алексеевны, как профессионал она мне очень нравится.
12 августа 2022 Отзыв взят с сайта Zoon.ru
5,0
Олеся
Неоднократно обращалась к Анне Алексеевне после каждой процедуры эффект был превосходный. Хочу выразить огромную благодарность Анне Алексеевне за каждый тёплый приём и профессионализм.
11 августа 2022 Отзыв взят с сайта Zoon.ru
5,0
Олеся
Обращалась неоднократно к Анне Алексеевне, после каждой процедуры эффект был превосходный. Хочу выразить огромную благодарность Анне Алексеевне за каждый тёплый приём и профессионализм.
11 августа 2022 Отзыв взят с сайта Zoon.ru
5,0
Жанна
Анна Алексеевна делает меня красивой уже много лет, высокий уровень профессионализма , замечательные человеческие качества делают сам прием очень комфортным . Я очень благодарна Анне Алексеевне, за ее труд, за ее отношение к пациентам,. Хочется также отметить широкий круг профессиональных возможностей, которыми виртуозно владеет врач! Еще большое спасибо за душевность! Доктор удачи вам и дальше!
11 августа 2022 Отзыв взят с сайта Zoon.ru
5,0
Карина
Анна Алексеевна самый лучший, высокопрофессиональный и постоянно совершенствующийся специалист в области косметологии. Я редко доверяю врачам, имея медицинское образование, но это была любовь с первого взгляда, которая длится много лет. Ни разу не посещала другого косметолога, что говорит обо всем и сразу. Рекомендую и не сомневаюсь ни на минуту, что после посещения - Вы полностью разделите мое восхищение Анной Алексеевной!
10 августа 2022 Отзыв взят с сайта Zoon.ru
5,0
Александра
Великолепный врач, всегда с трепетом подходит к вашему вопросу, проводит подробные консультации перед процедурой, после манипуляций дает множество хороших советов по уходу.
10 августа 2022 Отзыв взят с сайта Zoon.ru
5,0
Александра
Прекрасный врач, перед процедурой всегда проводит подробную консультацию, все настолько информативно, столько полезных советов.
10 августа 2022 Отзыв взят с сайта Zoon.ru
5,0
Наталья
Анна Алексеевна профессионал в своём деле, хожу к ней уже много лет, только она смогла найти ко мне подход. Я очень сильно ощущаю боль, благодаря её подходу, передышкам во время процедуры и фишкам-все процедуры проходят очень комфортно, теперь я морально не готовлюсь к процедурам как к чему-то ужасному (а раньше сделать ту же биовилитаризацию для меня было большим стрессом) а еду к Анне Алексеевне с легким сердцем и предвкушением, что после процедуры буду выглядеть прекрасно. Также нельзя не отметить, что это прекрасный, добрый и порядочный человек, которому можно довериться!
10 августа 2022 Отзыв взят с сайта Zoon.ru
5,0
Александра
Пришла к Астемиру Олеговичу по рекомендации своей подруги, он ей передний зуб восстанавливал после падения с самоката! Сделано настолько профессионально, что невозможно отличить искусстветвенный зуб от настоящего, и я решилась ему довериться! И не прогадала! Сейчас я довольна своей улыбкой, как никогда в жизни! Спасибо огромное доктору за качественно выполненное лечение и протезирование! Рекомендую данную клинику и данного доктора всем своим друзьям!
28 июля 2022 Отзыв взят с сайта Zoon.ru
5,0
Александр
Доктора Амита Алибиевича знаю с самого детства. Врач быстро и четко все делает. В последний раз удалял зуб мудрости, все прошло хорошо.
23 июля 2022 Отзыв взят с сайта Zoon.ru
5,0
Оксана
Мария – очень хороший косметолог. Ценю ее за профессионализм. Мне очень всё понравилось, я знаю ее давно, посещаю время от времени.
16 июля 2022 Отзыв взят с сайта Zoon.ru
5,0
Татьяна
Ходила на осмотр к стоматологу и гигиеническую чистку. Понравилась работа персонала, врачи, вежливость, качество услуг, все отлично было!
15 июля 2022 Отзыв взят с сайта Zoon.ru
5,0
Олег
Стоматолог понравился отзывчивый. Ставили пломбу, делали снимок. Дали рекомендации если что обращаться. Обслуживание врача было вежливое.
1 июля 2022 Отзыв взят с сайта Zoon.ru
5,0
Максим
Удобное расположение от дома. Делал чистку полости рта. В оказании услуги важен результат, он был хороший. Персонал вежливый, отзывчивый.
30 июня 2022 Отзыв взят с сайта Zoon.ru
0,0
Галина
Всегда хотела иметь красивые белые зубы и сбылась моя мечта!!! Волшебный доктор Александр Те поставил виниры- все в восторге!! Единственный минус плотная запись к доктору, но можно подождать ради результата.
3 июня 2022 Отзыв взят с сайта Zoon.ru
5,0
Руслан
Стоматолог Амит Алибиевич Ялбулганов классный, знающий свое дело, грамотный и интересный, оказал моей супруге помощь из-за опухших десен.
1 июня 2022 Отзыв взят с сайта Zoon.ru
5,0
Анонимный пользователь
Компетентные специалисты, которые оказывают услуги, то есть сам сервис понравился. У врача Амита давно лечусь, у него подход нестандартный к работе, очень эффективный. Приветливое отношение всегда, о записи напоминают. Дизайн приятный.
1 июня 2022 Отзыв взят с сайта Zoon.ru
5,0
Анонимный пользователь
По мере необходимости обращаюсь в клинику. Сейчас клеила коронки. Обслуживание быстрое и качественное. Врач достаточно оперативно все сделал. Сейчас все нормально, ощущения хорошие.
1 июня 2022 Отзыв взят с сайта Zoon.ru
5,0
Анна
Понравились вежливые администраторы, очень классный врач с супер энергетикой, быстро оказана эффективная услуга. Мне полировали зуб, потому что он откололся. Все санитарные нормы соблюдались, все было гигиенично, никаких вопросов не вызвало и настороженности.
1 июня 2022 Отзыв взят с сайта Zoon.ru
5,0
Эдгар
К стоматологу Амиту всегда хожу. Специалист, мне кажется, классный. И вообще, очень контактный, приятный человек. Со всех сторон хороший, и как человек и как специалист. Он мне пломбы делал, импланты, удалил зуб – много всего. Все ок по санитарии всегда. Раз в полгода-год клинику посещаю.
1 июня 2022 Отзыв взят с сайта Zoon.ru
5,0
Татьяна Евгеньевна
Доктор Амит классный! Он дружелюбный, общительный. Классный специалист, никогда не делает больно, идёт навстречу. Готов даже принять в то время, когда ему не удобно. Он мне зуб лечил, швы снимал, в последнее время часто клинику посещаю.
31 мая 2022 Отзыв взят с сайта Zoon.ru
5,0
Владимир
Лечение только началось, я постоянный клиент клиники. В докторе могу выделить доброжелательность, скорость. Прохожу протезирование.
25 мая 2022 Отзыв взят с сайта Zoon.ru
5,0
Богатырева Виктория
Очень приятная Мария - маленькая хрупкая девушка, которая обладает силой и чуткостью. Сеанс ней проходит быстро и приятно!
7 апреля 2022 Отзыв взят с сайта Zoon.ru
5,0
Красовская Ирма Абрамовна
Выражаю огромную благодарность стоматологу-ортопеду Александру Николаевичу за отличную профессиональную работу! Побольше таких специалистов!
6 апреля 2022 Отзыв взят с сайта Zoon.ru
5,0
Руснак Вагерид Вагеридович
Все супер, полностью довольна! Очень благодарна специалисту Амиту, доброжелательный, с чувством юмора и, самое главное, хороший специалист!
6 апреля 2022, отредактирован 16 апреля 2022 в 19:12 Отзыв взят с сайта Zoon.ru
5,0
Светлана
Я долго искала врача косметолога, которому смогла бы доверить себя любимую. К Анне Алексеевне попала по рекомендации подруги и сразу была очарована! Не навязывает ненужных процедур, всегда ответит на все вопросы, даст максимально подробную консультацию, подберет именно то, что необходимо и в вашем ценовом диапазоне. А сколько жизни и энергии в этом человеке! В общем, если ищете действительно грамотного косметолога, то вам к Анне Алексеевне
6 апреля 2022 Отзыв взят с сайта Zoon.ru
5,0
Айдамиров Эдуард
Максимально позитивные впечатления о клинике: удобное расположение, паркинг, санитарные средства, вежливый и профессиональный персонал.
6 апреля 2022 Отзыв взят с сайта Zoon.ru
5,0
Иванова Лилия Сергевна
Благодарю за внимательное отношение к пациентам и профессионализм! Хочу отметить работу доктора Астемира Олеговича Алхасова: высокий уровень!! Профессионал своего дела! И вылечил, и получилось красиво, все эстетично, выражаю огромную благодарность!
6 апреля 2022 Отзыв взят с сайта Zoon.ru
5,0
Басова Валентина Григорьевна
Самые лучшие впечатление о клинике, особая благодарность лечащему врачу Ялбулганову Амиту! Всем рекомендую!
6 апреля 2022, отредактирован 13 апреля 2022 в 14:35 Отзыв взят с сайта Zoon.ru
5,0
Холина Наталья Евгеньевна
Впечатления очень хорошие. Очень слаженная работа персонала. Делаю ударно-волновую терапию с Машей, довольна. Также хочу отметить отличную работу ресепшн Ульяну.
5 апреля 2022 Отзыв взят с сайта Zoon.ru
5,0
Карпова Любовь Борисовна
Всегда только положительные впечатления. Все вежливые, отзывчивые и, главное, профессионалы.
5 апреля 2022 Отзыв взят с сайта Zoon.ru
5,0
Соколова Наталья Владимировна
Очень положительные впечатления о клинике, прием по расписанию, врач высшей квалификации, внимателен и профессионал.
5 апреля 2022 Отзыв взят с сайта Zoon.ru
5,0
Волкова Елена Сергеевна
Впечатления о клинике самые положительные. Рекомендую вашу клинику всем друзьям и знакомым. Являюсь клиентом более 10 лет. Любимые специалисты Бородина Лариса и Амит Алибиевич
5 апреля 2022 Отзыв взят с сайта Zoon.ru
5,0
Титаренко Валерия Александровна
Великолепная клиника, отвечает мировым стандартам. Высококвалифицированные специалисты, особенно доктор Амит, очень квалифицированный врач и великолепный человек.
5 апреля 2022 Отзыв взят с сайта Zoon.ru
5,0
Блук Валентина Витальевна
Впечатления о клинике очень хорошие. Ходила на разные услуги. Не случайно обслуживаюсь здесь с 2002 года
5 апреля 2022, отредактирован 10 апреля 2022 в 19:23 Отзыв взят с сайта Zoon.ru
5,0
Волкова Любовь Александровна
Посещаю клинику более 2 лет. Благодарна Бородиной Ларисе за внимательность, профессионализм. Специально приезжаю на косметические процедуры с другого конца Москвы. Доброжелательность персонала заставляют приезжать к вам снова.
4 апреля 2022 Отзыв взят с сайта Zoon.ru
5,0
Шабазова Белла ДАТА
Теплая домашняя атмосфера. Внимательные и приветливые сотрудники. Остались очень довольны лечением зубов.
4 апреля 2022, отредактирован 4 апреля 2022 в 19:59 Отзыв взят с сайта Zoon.ru
5,0
Александра
Хожу уже давно, атмосфера в клинике очень хорошая, на ресепшене очень приятные и милые девушки, все подскажут и посоветуют. Отдельное спасибо хочу выразить Марии! Очень чуткая и внимательная, знающая свое дело!!! Рекомендую всем!
4 апреля 2022 Отзыв взят с сайта Zoon.ru
1,0
Инна
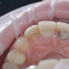
Уважаемые господа, сотрудник клиники Кэри, Ялбулганов Амит нанёс своими неквалифицированными действиями вред здоровью и эстетической составляющей. На фото видно результат его работы по установке люминиров. Описание стоматолога независимого в наличии. Если коротко, то в результате лечения был потерян зуб ( единица), воспалена десневая ткань, не плотное прилегание к зубу всех 4 х так называемых люминиров, кариес по границе прилегание виниров, эффект сэндвича вместо обещанных тончайших виниров, изменение смыкаемости зубов. Видны грубые ошибки и халатность в исполнении, не было выполнено компьютерное моделирование и примерка. Все чеки и договор в наличи. Готова писать заявления в прокуратуру на предмет соответствия квалификации и сертификации данного сотрудника. Какой сотрудник с вашей стороны проверяет подлинность сертификатов? С уважением, Стрельцова Инна. 89651417242
6 августа 2019 Отзыв взят с сайта Zoon.ru
5,0
Юлия
Больше года хожу в клинику Кэри к Хохловой Ирине. Пришла с проблемой гиперпигментации лица. Ситуация была критичной т.к. цвет лица стал ржавым. Ирина уверила, что сможет помочь и это произошло. Пигментация прошла, после процедур коже чистая, подтянутая, гладкая и ровная. Даже выгляжу моложе своего возраста. Огромное спасибо врачу за помощь. Безумно рада такому результату. Врач просто высшей категории!
27 января 2019 Отзыв взят с сайта Zoon.ru
5,0
Ольга Ефремова
Лечусь у Амита Алибиевича 18 лет, и ни на кого другого не поменяю этого врача от бога. Всем своим подругам его советую, они также довольны. Кому-то далековато ездить на Университет, пробовали найти врача поближе, но всё равно возвращаются лечить зубы к Амиту Алибиевичу. Не рекламирую, просто не согласна с неадекватными отзывами
23 ноября 2018 Отзыв взят с сайта Zoon.ru
5,0
Анонимный пользователь
Здравствуйте! Мне подруга порекомендовала обратиться к косметологу Егоровой Ирине, обратилась и не пожалела, уже несколько процедур делала, все очень понравилось. Работает хорошо, аккуратно, соблюдая все нормы и результат меня устроил, мне есть с чем сравнивать. Буду так же всем своим знакомым рекомендовать и конечно же сама буду посещать. Спасибо за хорошую работу
7 ноября 2018 Отзыв взят с сайта Zoon.ru
1,0
Юлия Ярцева
В этой клиники лечу уже второй зуб, и все плохо. У первого зуба чистили канал и поставили пломбу, все идеально, НО не увидели воспаление у корня зуба и через месяц вскочил флюс!! Второй зуб уже два месяца лечу толку нет!! таже самая история, чистка каналов, их три!! На протяжение несколько месяцев загоняли в канал 3ри разных лекарства!! О чудо до сих пор болит!! Пошла в другую клинику сделали рентген, а там Лекарство только в одном канале, и воспален корень))это видима новая техника лечения,)) Кстати врач была ортодонт Тамара. Мне жалко поверенного времени и денег. Огромное спасибо этой клиники.
11 октября 2018 Отзыв взят с сайта Zoon.ru
0,0
Оксана
Хочу сказать огромное спасибо Павлу Батурину за его профессиональный подход к решению моей проблемы. На столько точно было рассказано о моем организме, только лишь прикоснувшись к определенным точкам на спине. Спасибо Вам за Ваши руки, рекомендации и полученные положительные эмоции.
27 сентября 2018 Отзыв взят с сайта Zoon.ru
1,0
Ольга
Нас дальше порога просто не пустили. Причина: пришла с маленьким ребеноком, а в клинике сейчас руководство.. вот так вот)
27 апреля 2018 Отзыв взят с сайта Zoon.ru
5,0
Евгений
На счёт осторожности вы бы аккуратнее выражались,сегодня этот врач удалил мне зуб с похожим вашим описанием,так вот вины предыдущего врача в моей ситуации нет,так как нерв был удалён год назад и коронка была поставлена тогда же,а зуб загноился не от того что плохо были почищены каналы или ещё что,а от того что зуб мёртвый и плюс ко всему подстыл,так что не нужно обвинять человека не имея на то оснований. Доктор молодец, зуб удалил в лёт,при том что было воспаление.И вообще хочу сказать что клиника одна из не многих где адекватные цены в сравнение со многими Московскими клиниками где с их расценками на Рублёвке только работать!!!
19 апреля 2018 Отзыв взят с сайта Zoon.ru
1,0
Пациент
Осторожнее с этим врачом. Мой опыт оказался печальным. Лечила зубы и ставила коронки у него. Каналы этот врач вылечил плохо, в итоге на одном корне образовался гнойник, на другом - киста. Коронки пришлось снимать, один зуб удалять, а второй перелечивать. 3 года мучений и деньги на ветер. Врач производит неопрятное впечатление. Также очень часто он берет одновременно несколько пациентов. Поэтому будьте внимательны и следите, поменял ли он перчатки, прибежав к вам от другого пациента. Там нет доскональных обследований, все делается на авось. Моя рекомендация - лечите зубы и протезиоуйтесь там, где стерильная чистота и хорошая диагностическая база, и где вам не будут вслепую пломбировать каналы...
17 апреля 2018 Отзыв взят с сайта Zoon.ru
5,0
Дмитрий
Очень хорошая клиника! Стомотологи все изумительные доктор Амит, Тамара, косметологи великолепные все, я делаю в клинике иньекции, массажи, увт - нигде не получала таких безупречных результатов работы! Муж дарил сертификат в клинику Кэри на шоколадное обертывание, была приятно рада вниманию с его стороны и получила массу удовольствия на процедуре!
31 января 2017 Отзыв взят с сайта Zoon.ru
0,0
Анонимный пользователь
протезировала зубы поставила мост черезь год появились проблемы, протезировал и лечил Ялбуганов Амит Алибовичь все зубы испортил деньги взял а черезь год боли появились не убил нерв.Кто лечит или протезирует бегите пока не поздно, занес инфекцию.
28 сентября 2015 Отзыв взят с сайта Zoon.ru
4,0
Анонимный пользователь
Несколько раз ходила в этот салон на эпиляцию сахаром, все понравилось, кроме того, что мастер работает без перчаток((
20 июля 2015 Отзыв взят с сайта Zoon.ru
0,0
Анонимный пользователь
Хожу постоянно на протяжении 7 лет, нравится профессианализм косметолога Егоровой Ирины. Большой выбор процедур, качественная косметика, не навязывают того чего не нужно. Постоянным клиентам скидка 10%. Делают бонусные программы. Хороший мануальный массаж спины у Олега Николаевича, делала курс пиявок.
26 февраля 2015 Отзыв взят с сайта Zoon.ru
0,0
Анастасия
У вас есть кофейные обёртывания? И принимаете ли карту ледибонус?
27 ноября 2014 Отзыв взят с сайта Zoon.ru
5,0
Редактор Zoon
«Кери» – клиника действительно серьезная. Об этом говорит и столь продолжительная работа на рынке, за время которой репутация клиники не пострадала ни единого раза; и обширный список самых востребованных услуг по каждому из направлений клиники; и просто сама атмосфера «Кери» – спокойная, тихая и уютная. Здесь вы сможете ощутить глобальную разницу между настоящим индивидуальным подходом и конвейерной работой. В «Кери» каждый клиент получает максимум возможного внимания и, самое главное, понимания, которого зачастую так не хватает в частных клиниках. В списке услуг «Кери» нет ни одной сомнительной позиции – все методики проверены годами мирового опыта, а инновационные разработки самостоятельно тестируются специалистами клиники. Иными словами, «Кери» предлагает только то, в эффективности чего уверена на 100%. То же касается и технического оснащения клиники: все оборудование отвечает мировым стандартам и приносит исключительно пользу. Кроме того, «Кери» не забывает поощрять своих клиентов выгодными предложениями. К примеру, сейчас действуют специальные цены на отбеливание Zoom, обертывания, массаж, микротоковую терапию, кедровую бочку и прессотерапию.
21 октября 2014 Отзыв взят с сайта Zoon.ru
1,0
Евгения
Отвратительный прием. Началось все с цены. Увидела я 500 руб за хирургическую стоматологию. Окей. Думала, что есть в чем то подвох и оказалась права, поэтому и расстроилась. Пришла в клинику, стоматолог освободился от предыдущей клиентки, зашла в кабинет, легла в кресло, стоматолог начал узнавать в чем дело, все, как положено. Первым делом я обратила внимание на стакан, который стоял для полоскания рта. Мне не показалось, на нем были засохшие капельки у основания, как будто предыдущая пациентка пользовалась им, а его не удосужились поменять. Хорошо. В тот день, когда я пришла к доктору, у меня начало болеть горло, то есть, было больно глотать, думаю, что все знают, что это за ощущения. На тот момент я не знала, что нельзя удалять зуб, если есть хоть какая то малейшая простуда, об этом мне уже рассказал другой стоматолог, к которому я пошла после. К слову, да, я ходила удалять зуб. У меня в горле был большой слой гноя, это мне показал сам доктор, дав в руки зеркало и направив свет. Он попытался как то промыть это дело, получилось или нет, не могу сказать. Сдел мне пару уколов, просидела я минут 15, после чего он приступил к распиливанию, в общем не могу описать то, что там было, потому что уже не чувствовала ничего. Вырывать зуб было не больно, но при удалении он залез мне в рот двумя руками, в процессе чего повредил мне верхнюю губу, после этого она благополучно опухла. После удаления зуба он просто ушел из кабинета, ассистент мне сказала идти на ресепшн для оплаты. Окей. Он сказал что выпишет мне какие то антибиотики, чего не сделал. На ресепшене мне выставили чек в 4000 рублей. А стоматолог ушел принимать другого пациента. Меня не проконсультировали о том, что делать дальше. Чем полоскать рот, сколько держать вату на месте удаления, ничего мне и не выписали и не прописали, кроме этого чека. Далее, вату на том месте я держала 4 часа, вместо положенных 20 минут. Не смог сформироваться сгусток крови. Зуб удаляла в среду. Десна и щека опухли, место удаления неистово болит, спасает только таблетка. Прошло уже шесть дней, а изменений нет. Опухшая щека, из за неправильного соблюдения всех правил, которых мне не объяснили, образовался неприятный запах изо рта. Нашла другого стоматолога, на которого надеюсь так же, как надеялась на этого. Но молю, чтобы новый стоматолог меня не подвел так, как подвел этот. Не ходите в эту клинику. Мой вам совет
12 сентября 2017 Отзыв взят с сайта Zoon.ru
4,0
Станислав
PROFI.RU, спасибо! Амит Алибиевич действительно грамотный врач. Я доволен, что мне его рекомендовали. Очень грамотно провел консультацию. Лечение буду продолжать у него.
30 апреля 2017 Отзыв взят с сайта Zoon.ru
4,0
Ирина
Общительный и отзывчивый. Вникал, сопереживал. Дал хорошую консультацию. Не лишь бы отделаться. Сложилось впечатление, что опытный доктор. Убедил меня, что надо ставить имплант в моем случае. Денег не взял.
16 апреля 2017 Отзыв взят с сайта Zoon.ru
2,0
Ярослав
Хотел вылечить пульпит, а в итоге приобрела парадонтит! Как мне объяснил врач из другой клиники, паста, которую использовали для лечения пульпита попала в пародонт (все так сложо) и там началось воспаление (( и если бы лечащий врач был более компетентным этого бы никогда не случилось! выводы делайте сами.
17 февраля 2014 Отзыв взят с сайта Zoon.ru
Удалить отзыв

Остались вопросы?

Вы можете воспользоваться любым из указанных способов связи
Контактный номер
+7 (499) 370-31-... Показать